Diagnostika
Nav noslēpums, ka veselīgi zobi ir svarīgs faktors gan Jūsu ķermeņa labklājībā, gan pārliecībā par sevi. Skaists un veselīgs smaids veidojas ne tikai no dabas, bet ir arī konsekventas un gādīgas kopšanas rezultāts. Savlaicīga mutes dobuma pārbaude un profesionāla ārstēšana ļauj noteikt bojājumus sākumposmā. Savukārt modernas procedūras nodrošina estētisku un funkcionālu smaidu. Izvēloties piemērotu zobārstniecības klīniku, Jūs sperat pirmo soli pretī veselīgam un pievilcīgam smaidam.
Mūsdienās aizvien vairāk cilvēku rūpējas par savu veselību, īpaši par mutes dobuma stāvokli, saprotot, ka savlaicīga diagnostika un zobārstniecības procedūras būtiski ietekmē mutes un vispārējo labsajūtu.
Saskaņā ar 2023. gada datiem, zobārstniecības laboratoriju tirgus Eiropā sasniedza 10 980 miljonus ASV dolāru, un šodien tas turpina augt, prognozējot pieaugumu līdz 25 042,41 miljonam USD līdz 2030. gadam.
Pateicoties pieredzējušiem speciālistiem, jaunākajām tehnoloģijām un konkurentspējīgām cenām, Jelgava kopumā, it īpaši klīnika Concordia, ir ieguvusi reputāciju kā viens no vadošajiem zobu ārstēšanas galamērķiem.
Kāpēc regulāra zobu diagnostika, pārbaudes pie speciālista ir tik būtiskas?
Savlaicīgas zobu pārbaudes nodrošina iespēju:
- noteikt zobu un smaganu slimības to sākumposmā,
- apturēt slimību progresēšanu;
- novērst sarežģītu ārstēšanu nākotnē.
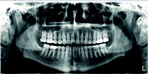
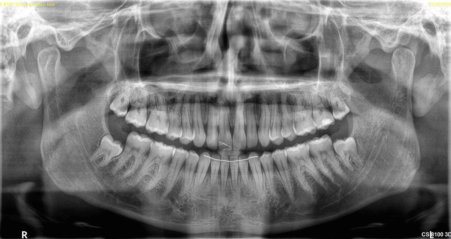
Jaunākās diagnostikas tehnoloģijas ļauj precīzi noteikt slēptas mutes problēmas, piemēram, kariesu, smaganu saslimšanas vai nepareizu sakodienu. Pateicoties regulārām pārbaudēm, iespējams izvairīties no komplicētām un izmaksu ziņā dārgām procedūrām, saglabājot zobu struktūru un veselību.
Jaunākās diagnostikas metodes
Jaunākās diagnostikas metodes palīdz precīzi noteikt problēmas un droši veikt ārstēšanu, piemēram:
- 3D skenēšana un radiogrāfija nodrošina detalizētus attēlus par zobiem, žokļiem un apkārtējiem audiem.
- Intraorālās kameras ļauj vizualizēt mutes dobuma veselību un sniedz iespēju konsultācijām ar pacientu tiešsaistē.
- Datortomogrāfija (CT) sniedz trīsdimensiju attēlus, kas nepieciešami sarežģītām procedūrām, piemēram, implantācijai vai sakņu kanālu ārstēšanai.
Profesionāla un mūsdienīga zobārstniecība Jelgavā
Klīnika Concordia un līdzīgi mūsdienīgi zobārstniecības centri Jelgavā piedāvā plašu pakalpojumu klāstu, kas palīdz ārstēt un diagnosticēt zobu un mutes dobuma saslimšanas, tostarp:
-
- Kariesa likvidēšana. Bojātie audi tiek ārstēti, izmantojot jaunākās tehnoloģijas un kvalitatīvus materiālus.
- Zobu plombēšana. Augstas kvalitātes kompozītmateriāli, kas nodrošina dabisku izskatu un izturību.
- Endodontiskā ārstēšana. Sakņu kanāli tiek ārstēti precīzi un bez sāpēm, izmantojot modernās diagnostikas ierīces.
- Ortodontiskās korekcijas. Sakodiena uzlabošana un vizuāli pievilcīga zobu izskata nodrošināšana.
- Smaganu veselības un mutes dobuma stāvokļa uzturēšana.
Mūsdienīgā klīnika Concordia Jelgavā piedāvā zobārstniecību, izmantojot modernākās tehnoloģijas, piemēram:
- Lāzera procedūras;
- 3D zobu skenēšana;
- Digitālā zobu modelēšana.
Jaunāko iekārtu un tehnoloģiju izmantošana profesionālu zobārstu vadībā nodrošina:
- labāku servisu un efektīvus ārstēšanas rezultātus;
- maksimālu procedūru precizitāti un drošību;
- procedūras ar minimālu diskomfortu;
- ātrāku rehabilitāciju un optimālu rezultātu.
Kvalificētu ārstu profesionalitāte vienlaikus ar sertificētiem materiāliem un stingriem sanitārajiem standartiem padara zobārstniecību Jelgavā drošu un uzticamu. Klīnika Concordia nodrošina garantijas veiktajai ārstēšanai, kas pierāda augsto servisa līmeni.
Ieguvumi zobu ārstēšanai Jelgavā
- Pieredzējuši zobārsti. Klīnikas Concordia zobārsti ir ar starptautisku sertifikāciju un pieredzi, kā arī izmanto modernākās diagnostikas un terapijas metodes, lai nodrošinātu pacientiem efektīvu un komfortablu ārstēšanu.
- Pieejamas un konkurētspējīgas cenas. Pacienti Jelgavā var saņemt kvalitatīvu ārstēšanu par izmaksām, kas ir zemākas nekā citur Eiropā vai citos Latvijas reģionos, padarot šo pilsētu par populāru galamērķi tiem, kas meklē labu izmaksu un kvalitātes balansu.
- Izdevīga lokācija un iespēja apvienot ārstēšanu ar atpūtu. Jelgava ir gan mūsdienīgu zobārstniecības centru pilsēta, gan kultūras un ar vēsturi bagāta vieta, kur pacienti var vienlaikus ārstēties un izbaudīt pilsētas sniegtos piedāvājumus.
Kronis, Concordia zobārstniecības klīnika Jelgavā – drošs un profesionāls partneris zobu ārstēšanā
Klīnika Concordia piedāvā dažādus zobu ārstēšanas un diagnostikas pakalpojumus, tostarp:
- Zobu kariesa ārstēšana;
- Zobu restaurācija un protezēšana;
- Zobu implantu uzstādīšana;
- Sakodiena korekcija (ortodontija);
- Estētiskā zobārstniecība.
Mūsu profesionālie ārsti pielieto modernas tehnoloģijas un sertificētus materiālus, lai nodrošinātu augstu kvalitāti un ilgstošu rezultātu zobārstniecībā.
Kronis, Concordia zobārstniecības klīnikas ārsti ir pieredzējuši un sertificēti speciālisti ar starptautisku kvalifikāciju. Katrs klīnikas zobārsts regulāri uzlabo savas profesionālās prasmes, apmeklējot specializētus kursus un seminārus, lai pacientiem piedāvātu jaunākās un visefektīvākās terapijas.
Klīnikas pacienti Jelgavā atzīst augsto ārstēšanas kvalitāti un komfortablos apkalpošanas nosacījumus. Mūsu pacientu apmierinātība un ilgtermiņa ārstēšanas efekts ir iemesls lepoties ar mūsu klīniku. Klīnika nodrošina garantijas par paveikto, kas apliecina profesionālu atbildību un rūpes par katra klienta maksimālu apmierinātību.
Sazinieties ar mums:
- E-pasts: jelgava@concordiaclinic.lv
- Tālrunis: +371 294 336 22
Apmeklējiet mūsu klīniku:
- Adrese: Pulkveža O. Kalpaka iela 16, 1. stāvs, Jelgava, LV-3001, Latvija
Darba laiks:
- Pirmdiena–Ceturtdiena: 09:00–18:00
- Piektdiena: 09:00–17:00
- Sestdiena: 10:00–14:00
Visbiežāk uzdotie jautājumi
Cik regulāri ieteicams veikt zobu diagnostiku?
Zobu profilaktiskās pārbaudes ieteicams veikt vienu reizi gadā – tas palīdz savlaicīgi atklāt slimības un izvairīties no sarežģītām procedūrām vēlāk.
Ar kādām metodēm tiek veikta zobu diagnostika klīnikā Kronis, Concordia Jelgavā?
Mūsu speciālisti izmanto progresīvas tehnoloģijas – trīsdimensiju skenēšanu, rentgenu, intraorālās kameras un datortomogrāfiju, lai precīzi identificētu visas mutes dobuma problēmas.
Vai klīnika sniedz garantijas paveiktajiem darbiem?
Jā, mēs nodrošinām garantiju visiem paveiktajiem darbiem, tostarp plombēšanai un kroņu uzstādīšanai. Garantijas ilgums atkarīgs no pakalpojuma veida, un individuālu informāciju var saņemt pie mūsu speciālistiem.
Lietošanas noteikumi
Saziņai
+371 294 336 22
jelgava@concordiaclinic.lv
Adrese
Pulkveža O. Kalpaka iela 16., 1. stāvs, Jelgava, LV-3001
Darba laiks
S. 10.00-14.00







